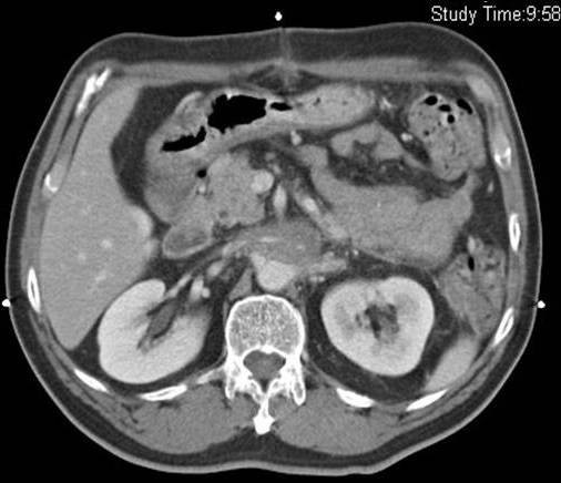
Figure 1From: Post radiation chylous ascites: a case reportPreoperative abdominal CT scan showing retroperitoneal mass encasing the right renal vein (arrow).Back to article page